الكاتب : النهار
التاريخ: ٠٨ فبراير-٢٠٢٤       24915

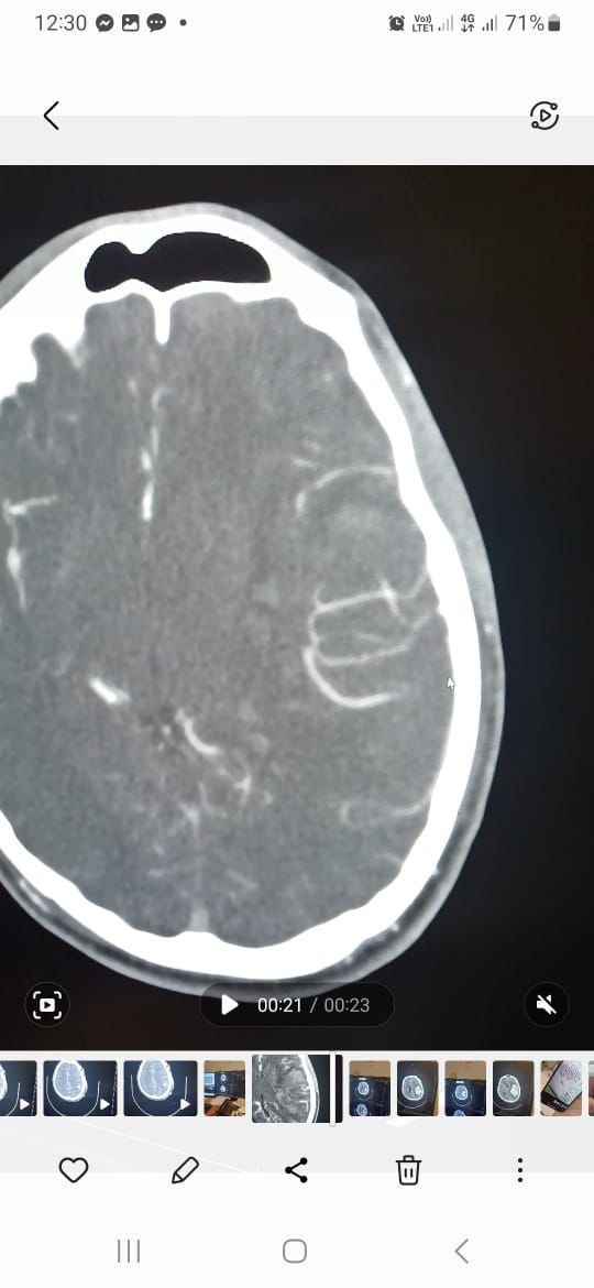
تمكن بفضل من الله فريق طبي من  قسم جراحة المخ والاعصاب  بمستشفى الملك خالد التابع للتجمع الصحي بتبوك من انقاذ حياة شاب بالعشرين من عمره وصل الى قسم الطوارئ وهو في حالة فقدان للوعي وبعد عمل الفحوصات اللازمة وتصوير الاوعية الدموية الدماغية تبين وجود نزيف دماغي حاد في الجهة اليسرى كذلك وجود تشوه خلقي دموي وعائي كبيرا جدا.

وأوضح الفريق الطبي من  قسم جراحة المخ والاعصاب  بالتجمع بانه تم فورا ادخال المريض الى غرفة العمليات واجراء استئصال للأوعية الدموية مجهريا حيث استغرق اجراء العملية أكثر من 5 ساعات تكللت ولله الحمد بالنجاح كما تم تحويل المريض لقسم التنويم بمتابعة وإشراف الفريق الطبي. 

واكد الفريق الطبي بان حالة المريض تحسنت تدريجيا ولم تكن هناك أي مضاعفات اثناء وبعد العملية وبدا بحركة الأطراف إضافة الى فتح العينين ولله الحمد.